뿌리 끝 염증 및 2차 충치의 재신경치료 사례

가락시장역 인근 문정동 수치과병원에서 진행한 실제 치료 사례
Apr 07, 2026
뿌리 끝 염증 및 2차 충치의 재신경치료 사례

안녕하세요.
송파구 문정동 가락시장역 8번 출구 앞 건물 5층에 위치한
수치과병원 보철과 전문의 최예원 원장입니다.

오늘은 잇몸 고름주머니와 뿌리 끝 염증으로 겪는 고민을
재신경치료로 해결한 사례를 소개해드립니다.

📋 사례 요약

  • 주호소 (C.C): 잇몸 부위에 고름주머니가 생김

  • 치료법: 플라즈마 장비를 활용한 재신경치료 및 레진 코어 수복

🔍 치료 전

환자분께서는 잇몸 부위에 볼록하게
고름주머니가 생겼다며 내원해 주셨습니다.

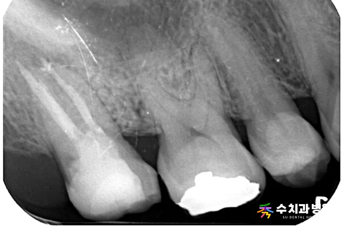
[📸 치료 전 엑스레이] (촬영일: 2023년 8월)

방사선 및 임상 검사를 꼼꼼히 진행한 결과,
과거에 신경치료를 마쳤던 치아의 뿌리 끝 부위에
명확한 염증 소견이 관찰되었습니다.

기존에 씌워둔 보철물을 조심스럽게 제거해 보니,
보철물 경계 틈으로 세균이 유입되면서
2차 충치가 깊게 진행된 상태였습니다.

💡 진단 및 계획

뿌리 주변의 염증 상태가 다소 심각했지만,
소중한 자연치아를 보존하는 것을 최우선으로 하여
재신경치료를 진행하기로 계획했습니다.

미세한 신경관 내부의 감염 조직을
더욱 정밀하게 제거하고 멸균하기 위해,
플라젠(플라즈마) 장비를 적극적으로 활용하여
치료 성공률을 높이기로 환자분과 상의했습니다.

🛠️ 치료 과정

1️⃣ 기존 수복물 및 충치 제거
가장 먼저 기존 보철물을 완전히 제거하고,
내부로 깊게 진행된 2차 충치와
오염된 조직을 깨끗하게 정리했습니다.

2️⃣ 플라즈마 재신경치료
이후 플라즈마 장비를 활용하여 수 차례에 걸쳐
복잡한 신경관 내부를 꼼꼼하게 소독하고 세척하며,
뿌리 끝 염증을 정밀하게 치료했습니다.

[📸 치료 중 엑스레이] (촬영일: 2023년 8월)

3️⃣ 신경관 충전 및 레진 코어 수복
신경관 내 염증이 안정적으로 조절된 것을 확인한 후,
빈 공간을 치과용 재료로 꼼꼼히 밀폐하고
레진 코어로 단단하게 채워 수복을 완료했습니다.

✨ 치료 후

치료를 성공적으로 마무리한 후,
환자분께서 내원 당시 호소하셨던
잇몸의 고름주머니와 불편감이 사라졌습니다.

[📸 치료 후 엑스레이] (촬영일: 2023년 10월)

현재는 통증이나 불편함 없이
일상생활에서 무리 없이 잘 사용하고 계십니다.

⏱️ 치료 후 경과

치료를 마치고 9개월이 지난 시점에
방사선 검진을 통해 상태를 점검했습니다.

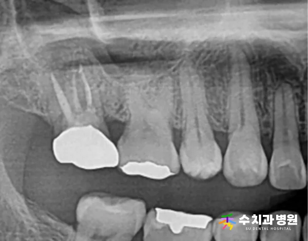
[📸 치료 9개월 후 엑스레이] (촬영일: 2024년 5월)

또한 약 1년 9개월이 경과한 후에도
다시 한번 정기검진을 진행한 결과,
뿌리 끝 염증이 뚜렷하게 호전된 것을 확인했습니다.

[📸 치료 1년 9개월 후 엑스레이] (촬영일: 2025년 5월)

재감염 소견 없이 주변 잇몸뼈가
아주 안정적으로 잘 유지되고 있습니다.

⚖️ 치료 전후 비교

[📸 치료 전후 비교 사진] (촬영일: 전 2023년 8월 / 후 2023년 10월 / 1년 9개월 후 2025년 5월)

👨‍⚕️ 의료진 소견

과거에 신경치료를 받았던 치아라도
보철물 틈으로 세균이 침투하면
다시 염증과 고름주머니가 생길 수 있습니다.

염증이 심하더라도 무작정 발치하기보다는,
플라즈마 장비 등을 활용한 정밀한 재신경치료로
소중한 자연치아를 살릴 수 있는 경우가 많습니다.

앞으로도 송파구 문정동 가락시장역 인근에서
환자분의 자연치아를 끝까지 지키는
책임감 있는 진료를 이어가겠습니다.

⚠️ 의료법 필수 고지

  1. 본 증례 사진은 의료법 제23조 및 제62조에 의거하여 환자분의 동의 하에 게시되었습니다.

  2. 충치 치료 및 수복 후 일시적인 시림, 통증, 잇몸 자극, 2차 충치, 재료의 탈락이나 파절 등의 부작용이 발생할 수 있습니다.

📞 본 증례와 비슷한 고민이 있으시다면

본 증례와 비슷한 증상으로 고민이시라면, 언제든 편하게 문의해 주세요.
📞 빠른 상담: 02-431-3521
📍 오시는 길 (네이버 지도)

#송파구치과 #문정동치과 #가락시장역치과 #수치과병원 #재신경치료 #잇몸고름주머니 #뿌리끝염증 #자연치아살리기 #플라즈마신경치료 #문정동신경치료

Share article

수치과병원