상악 전치부 동요도의 발치 후 임플란트 치료 사례

가락시장역 인근 문정동 수치과병원에서 진행한 실제 치료 사례
Feb 09, 2026
상악 전치부 동요도의 발치 후 임플란트 치료 사례

안녕하세요.
송파구 문정동, 가락시장역 인근에 위치한
수치과병원 보철과 전문의 최예원 원장입니다.

오늘은 잇몸뼈 흡수로 인해 흔들리던 앞니를
임플란트로 회복한
치료 사례를 소개해 드립니다.

📋 사례 요약 (Case Summary)

  • 주호소(C.C): 앞니가 점점 아래로 내려오는 것 같아서 걱정돼요.

  • 진단명: 상악 우측 중절치 잇몸뼈 흡수 및 동요도

  • 치료법: 발치 후 임플란트

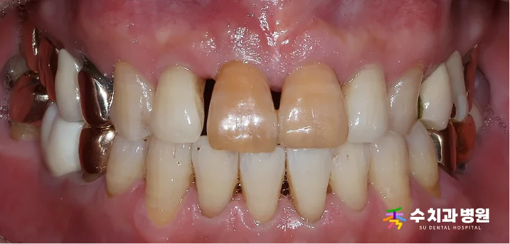
🔍 치료 전 (Before)

[치료 전 사진] (촬영일: 2025년 06월)
[치료 전 사진] (촬영일: 2025년 06월)
[치료 전 사진] (촬영일: 2025년 06월)
[치료 전 엑스레이 사진] (촬영일: 2024년 09월)

환자분은 앞니 하나가
점점 아래로 처지는 느낌이 들어
걱정스러운 마음에 내원하셨습니다.

정밀 검사 결과, 오른쪽 대문니(앞니)는
과거에 신경치료를 받았던 이력이 있었습니다.
뿌리 쪽 잇몸뼈 흡수가 심하게 진행되어
치아가 제 위치를 잡지 못하고 있었습니다.

치아가 심하게 흔들리는 상태였기 때문에
안타깝게도 발치가 불가피했습니다.
또한 옆 치아의 색상도 변색이 진행되어
심미적인 개선이 시급했습니다.

🩺 진단 및 치료 계획

"옆 치아를 깎지 않고 보존하겠습니다."

앞니 하나를 뺐을 때,
양옆 치아를 깎아서 거는 브릿지 치료도 있습니다.
하지만 멀쩡한 인접 치아를 삭제하는 것은
장기적으로 치아 수명에 좋지 않습니다.

그래서 주변 치아를 온전히 보존할 수 있는
임플란트 식립을 결정했습니다.

동시에 옆에 색상이 변한 왼쪽 앞니는
지르코니아 크라운으로 씌워
두 앞니의 색상과 형태를
가장 자연스럽게 맞추기로 계획했습니다.

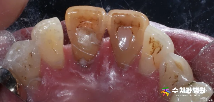
🛠️ 치료 과정

1️⃣ 발치 및 임플란트 식립
살릴 수 없는 오른쪽 앞니를 발치하고
뿌리가 있던 자리에 인공치근(픽스처)을
정확한 각도와 깊이로 심었습니다.

2️⃣ 맞춤형 지대주 및 보철 제작
잇몸뼈와 임플란트가 단단히 붙은 후,
환자분의 잇몸 라인에 딱 맞는
맞춤형 기둥(지대주)을 연결했습니다.

3️⃣ 최종 보철물 장착
옆 치아까지 주변 치아색과 투명도를 재현한
지르코니아 크라운을 씌워 마무리했습니다.

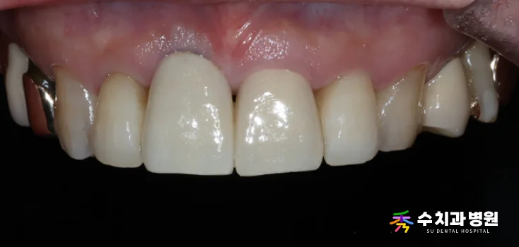
✨ 치료 후 (After)

[치료 후 사진] (촬영일: 2025년 09월)
[치료 후 사진] (촬영일: 2025년 09월)

앞니 임플란트크라운 치료가
성공적으로 마무리되었습니다.

아래로 처져 보이던 잇몸 라인이
가지런하게 회복되었습니다.
어떤 것이 임플란트인지 모를 정도로
자연 치아와 완벽한 조화를 이룹니다.

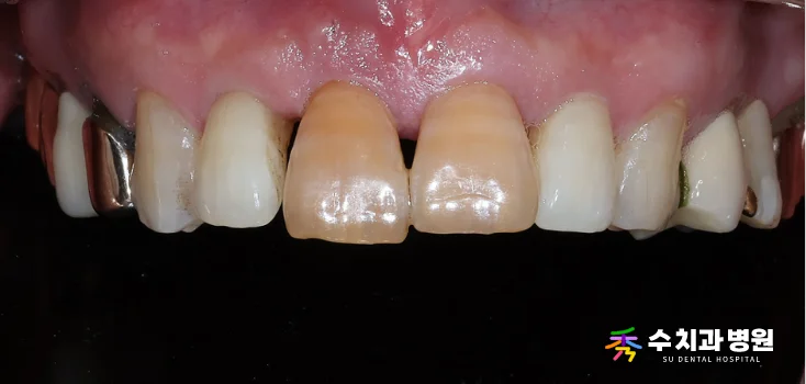
📸 치료 전후 비교 (Before & After)

[치료 전후 비교 사진] (촬영일: 전 2025년 06월 / 후 2025년 09월)

흔들리는 앞니는 튼튼한 앞니도,
변색된 옆 치아는 심미적인 새 치아로 교체되었습니다.
좌우 대칭이 맞아 웃는 모습이 자연스럽습니다.

👨‍⚕️ 의료진 소견

"앞니 치료는 심미성이 생명입니다."

앞니 임플란트는 단순히 심는 것을 넘어
잇몸 라인과 치아 모양을
자연스럽게 만드는 것이 핵심 기술입니다.

저희 문정동 수치과병원
기능적인 씹는 힘 회복은 물론이고,
보여지는 심미적인 만족도까지
최우선으로 고려하여 진료합니다.

#문정동치과 #송파구치과 #가락시장역치과 #문정동수치과병원 #문정동임플란트 #송파앞니임플란트 #앞니심미치료 #지르코니아크라운 #앞니흔들림 #앞니발치

  1. 본 증례 사진은 의료법 제23조 및 제62조에 의거하여 환자분의 동의 하에 게시되었습니다.

  2. 치료에 따른 부작용(통증, 출혈, 감각 이상, 식립 실패, 보철물 파절 등)이 발생할 수 있습니다.

Share article

수치과병원