앞니 변색의 레진 치료 사례

가락시장역 인근 문정동 수치과병원에서 진행한 실제 치료 사례
Mar 16, 2026
앞니 변색의 레진 치료 사례

안녕하세요.
송파구 문정동, 가락시장역 인근에 위치한
수치과병원 보철과 전문의 최예원 원장입니다.

오늘은 앞니 변색으로 겪는 고민을
레진으로 치료한 사례를 소개해드립니다.

📋 사례 요약

  • 주호소: "앞니가 점점 어두워져서 신경 쓰여요."

  • 치료 방법: 당일 직접 레진 수복

🔍 치료 전

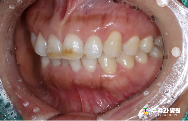
[📸 치료 전 사진] (촬영일: 2025년 8월)
[📸 치료 전 사진] (촬영일: 2025년 8월)

10년 전부터 앞니 변색이 진행된 상태였고,
미소를 지을 때마다 신경이 쓰인다고 하셨습니다.

검진 결과 위 앞니 일부가 어둡게 변해 있었습니다.
특히 왼쪽 위 첫 번째 앞니는 약간 틀어져 있었습니다.

💡 진단 및 계획

심미적인 개선을 위해 두 가지 방법을 설명했습니다.
첫째는 치아를 다듬는 라미네이트 및 크라운입니다.
배열과 색상을 한 번에 개선할 수 있는 장점이 있습니다.

둘째는 치아를 깎지 않는 직접 레진 치료입니다.
자연치아를 최대한 보존하며 색상을 개선하는 방법입니다.

환자분은 치아 삭제에 대한 부담이 매우 크셨습니다.
따라서 자연치아를 보존하는 당일 레진 치료를 계획했습니다.

🛠️ 치료 과정

1️⃣ 최소한의 표면 처리
치아를 깎지 않고 겉면만 가볍게 정돈했습니다.
레진이 잘 붙을 수 있도록 최소한의 처리만 진행했습니다.

2️⃣ 레진 층별 충전 및 다듬기
주변 치아 색상과 자연스럽게 어우러지도록 만들었습니다.
레진을 여러 겹으로 쌓아 올리는 방식을 적용했습니다.
치아 형태를 정교하게 다듬고 표면을 매끄럽게 완성했습니다.

✨ 치료 후

[📸 치료 후 사진] (촬영일: 2025년 8월)
[📸 치료 후 사진] (촬영일: 2025년 8월)

치아 삭제 없이 변색 부위가 자연스럽게 커버되었습니다.
위아래 치아의 물림을 꼼꼼하게 확인하였고,
표면을 윤이 나게 다듬어 심미성을 더욱 높였습니다.
당일에 모든 치료가 성공적으로 종결되었습니다.

🔄 치료 전후 비교

[📸 치료 전후 비교 사진] (촬영일: 전 2025년 8월 / 후 2025년 8월)

👨‍⚕️ 의료진 소견

앞니 변색은 미소에 큰 영향을 미치는 요소입니다.
치아 삭제가 부담스럽다면 레진 치료가 좋은 대안입니다.

다만 레진은 시간이 지나면 착색이 발생할 수 있으니,
정기적인 치과 검진을 통해 상태를 점검하시길 바랍니다.

#송파구치과 #문정동치과 #수치과병원 #가락시장역치과 #문정동앞니치료 #앞니변색 #레진치료 #당일레진 #자연치아보존

  1. 본 증례 사진은 의료법 제23조 및 제62조에 의거하여 환자분의 동의 하에 게시되었습니다.

  2. 보철 치료 후 시림, 잇몸 자극, 치아 변색, 2차 충치, 과도한 교합력에 의한 보철물 탈락이나 파절 등의 부작용이 발생할 수 있습니다.

Share article