앞니 라미네이트 깨짐의 맞춤형 라미네이트 치료 사례

가락시장역 인근 문정동 수치과병원에서 진행한 실제 치료 사례
Apr 01, 2026
앞니 라미네이트 깨짐의 맞춤형 라미네이트 치료 사례

안녕하세요.
송파구 문정동 가락시장역 인근에 위치한
수치과병원 보철과 전문의 최예원 원장입니다.

오늘은 기존 라미네이트가 깨져서 겪는 고민을
새로운 맞춤형 라미네이트로 치료한 사례를 소개해드립니다.

📋 사례 요약

  • 주호소 (C.C): 기존에 씌웠던 앞니 라미네이트가 깨짐

  • 치료법: 기존 보철물 제거 및 맞춤형 라미네이트 재수복

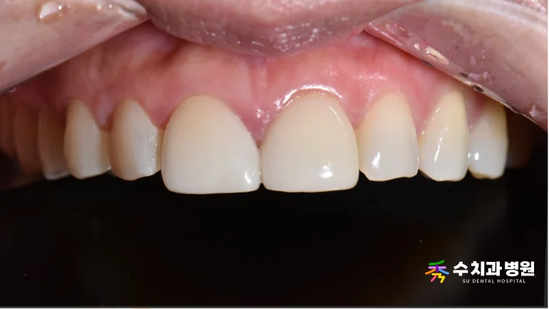
🔍 치료 전

환자분께서는 위쪽 오른쪽 앞니에 부착했던
기존 라미네이트 보철물이 깨졌다며,
저희 치과를 찾아주셨습니다.

[📸 치료 전 사진] (촬영일: 2024년 4월)

임상 검사를 통해 꼼꼼히 확인해 본 결과,
해당 보철물의 깨짐과 손상이 관찰되었으며
웃거나 말할 때 눈에 잘 띄는 앞니인 만큼
빠른 심미적 개선이 필요한 상태였습니다.

💡 진단 및 계획

눈에 잘 띄는 앞니의 특성을 깊이 고려하여,
손상된 기존 라미네이트를 조심스럽게 제거하고
새로운 보철물로 다시 씌우기로 계획했습니다.

이때 남은 치아의 추가적인 삭제를 최소화하며,
주변 자연치아와 이질감이 들지 않도록
색상과 투명도, 표면 질감을 정밀하게 분석하여
자연스러운 맞춤형 디자인을 적용하기로 했습니다.

🛠️ 치료 과정

1️⃣ 기존 보철물 제거 및 치아 다듬기
먼저 손상된 기존 라미네이트를 제거하고,
치아의 추가적인 삭제를 최소화하면서
새로운 보철물이 들어갈 자리를 정돈했습니다.

2️⃣ 맞춤형 라미네이트 디자인 및 제작
주변 치아의 색상, 투명도, 표면 질감을 분석하여
환자분의 평소 치아 사용 습관까지 반영한
심미적이고 튼튼한 라미네이트 기공물을 제작했습니다.

3️⃣ 최종 보철물 부착 및 교합 조정
단기간 내에 완성된 최종 보철물을
치아 경계면에 맞춰 전용 접착제로 단단히 부착하고,
위아래 맞물림을 편안하게 조정하여 마무리했습니다.

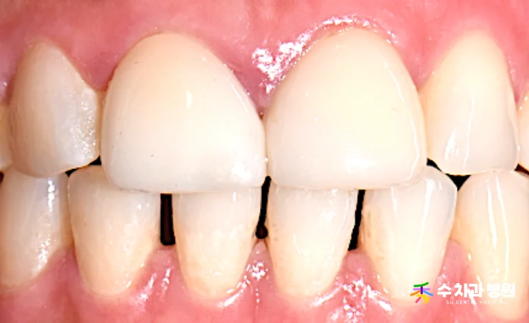
✨ 치료 후

치료가 모두 끝난 후의 모습을 보면,
주변 자연치아와 구분이 어려울 정도로
심미성이 매우 우수하게 회복되었습니다.

[📸 치료 후 사진 1] (촬영일: 2024년 4월)
[📸 치료 후 사진 2] (촬영일: 2024년 4월)

환자분의 치아 사용 습관을 고려해 제작된 만큼,
불편함이나 특이사항 없이
안정적으로 교합이 잘 유지되고 있습니다.

⚖️ 치료 전후 비교

[📸 치료 전후 비교 사진] (촬영일: 전 2024년 4월 / 후 2024년 4월)

👨‍⚕️ 의료진 소견

앞니 라미네이트는 심미성이 매우 중요하기 때문에,
주변 치아와의 자연스러운 조화는 물론이고
치아 삭제량을 최소화하는 것이 핵심입니다.

성공적으로 보철 치료가 마무리되었더라도,
단단하거나 질긴 음식을 앞니로 끊어 먹는 습관은
보철물 파절의 원인이 될 수 있으므로
일상생활에서 주의해 주시는 것이 좋습니다.

#송파구치과 #문정동치과 #가락시장역치과 #수치과병원 #문정동라미네이트 #앞니깨짐 #라미네이트재수복 #앞니보철치료

  1. 본 증례 사진은 의료법 제23조 및 제62조에 의거하여 환자분의 동의 하에 게시되었습니다.

  2. 보철(크라운/라미네이트) 치료 후 시림, 잇몸 자극, 치아 변색, 2차 충치, 과도한 교합력에 의한 보철물 탈락이나 파절 등의 부작용이 발생할 수 있습니다.

Share article

수치과병원