부분틀니 지지대 치아 기능 상실의 완전틀니 치료 사례

가락시장역 인근 문정동 수치과병원에서 진행한 실제 치료 사례
Mar 20, 2026
부분틀니 지지대 치아 기능 상실의 완전틀니 치료 사례

안녕하세요.
송파구 문정동 가락시장역 인근에 위치한
수치과병원 보철과 전문의 최예원 원장입니다.

오늘은 약해진 부분틀니 지지대 치아로 겪는 고민을
전체 완전틀니로 치료한 사례를 소개해드립니다.

📋 사례 요약

  • 환자 연령: 90대

  • 주호소 (C.C): 기존 부분틀니 지지대 치아가 약해져 전체 틀니를 원함

  • 치료법: 전체 완전틀니 (총의치) 수복

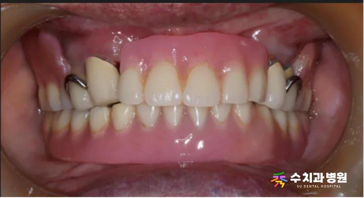
🔍 치료 전

기존에 사용하시던 부분틀니를 지지하던
남은 치아들이 지속적인 자극과 압력을 받으면서,
심하게 흔들리고 주변 잇몸뼈의 흡수가
상당히 진행된 상태였습니다.

[📸 치료 전 사진] (촬영일: 2025년 4월)
[📸 치료 전 엑스레이사진] (촬영일: 2025년 4월)

검진과 방사선 사진을 꼼꼼히 확인한 결과,
남은 치아들이 지지대 역할을 완전히 상실하여
정상적인 기능 유지가 불가능했습니다.

💡 진단 및 계획

기능을 잃은 잔존 치아를 모두 발치하고,
치아가 하나도 없는 상태에서
위아래 전체 완전틀니로 전환하는
치료 계획을 수립하였습니다.

환자분이 90대의 고령이신 점을 깊이 고려할 때,
외과적 수술 부담이 큰 다수의 임플란트보다는
신체적 무리를 최소화할 수 있는
전체 틀니 수복이 가장 적절하다고 판단했습니다.

🛠️ 치료 과정

1️⃣ 임시틀니 장착
발치 직후 식사나 발음 등 일상생활에서 겪으실
불편함을 최소화하기 위해,
위아래 임시틀니(즉시의치)를 우선 제작하여 장착해 드렸습니다.

[📸 임시틀니 사진] (촬영일: 2025년 5월)

2️⃣ 최종 완전틀니 제작
약 3개월의 치유 기간을 거치며
발치한 부위와 잇몸뼈가 안정적으로 아문 것을 확인한 후,
변화된 구강 조직 형태에 맞춰 최종 본을 떴습니다.

이후 위아래 치아의 맞물림과 높이를
정밀하게 기록하여 최종 전체 완전틀니를 완성했습니다.

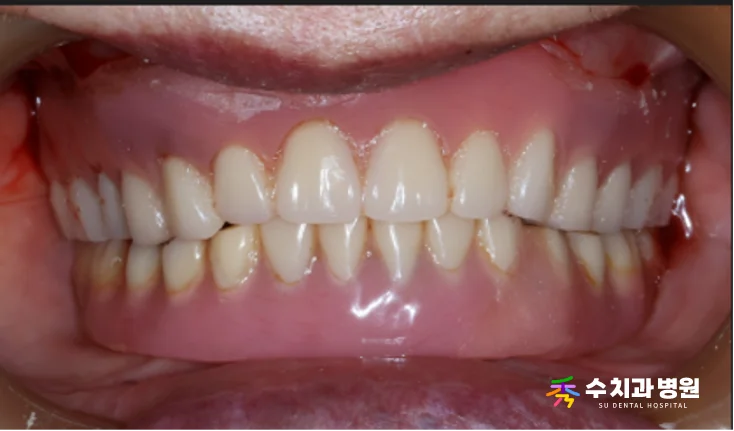
✨ 치료 후

최종 완전틀니를 장착하신 후,
저작 기능과 발음이 크게 개선되었으며
심미적으로도 자연스러운 모습으로 회복되었습니다.

[📸 치료 후 사진] (촬영일: 2025년 9월)

현재 환자분은 구강 기능이 전반적으로 향상되어
매우 만족하시며 안정적으로 유지 관리 중이십니다.

⚖️ 치료 전후 비교

[📸 치료 전후 비교 사진] (촬영일: 전 2025년 4월 / 후 2025년 9월)

👨‍⚕️ 의료진 소견

새로운 전체 완전틀니는 초기 적응 기간이 필요하며,
시간이 지남에 따른 잇몸 형태 변화에 맞춰
정기적인 조정 작업이 필수적입니다.

틀니 전용 세정제를 이용한 올바른 위생 관리와 함께
주기적으로 치과에 내원하시어 검진을 받아주시는 것이
오랫동안 편안하게 사용하시는 비결입니다.

#송파구치과 #문정동치과 #가락시장역치과 #수치과병원 #전체완전틀니 #부분틀니 #문정동틀니치료 #총의치

  1. 본 증례 사진은 의료법 제23조 및 제62조에 의거하여 환자분의 동의 하에 게시되었습니다.

  2. 틀니 치료 후 장기간 사용 시 잇몸 통증, 압박으로 인한 염증, 틀니의 헐거움, 발음·저작 불편감, 틀니로 인한 잇몸뼈 흡수 등 합병증 또는 부작용이 발생할 수 있습니다.

Share article

수치과병원